Pathology (Disease and Tissue Analysis)

Our Pathology Services provide comprehensive evaluation and interpretation of biological samples to support toxicology, pharmacology, and clinical studies.

Necropsy and Gross Pathology

 Conducting thorough macroscopic examination of animal tissues and organs post-study.

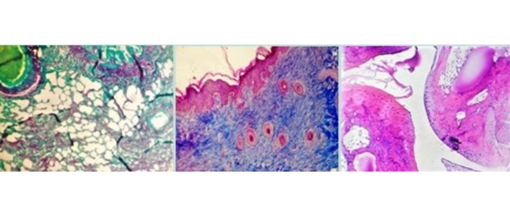
Histopathology

Microscopic examination of tissue samples for cellular changes, including routine Hematoxylin and Eosin (H&E) staining and specialized staining as required.

Immunohistochemistry

Using antibodies to detect specific antigens in tissue sections, aiding in disease diagnosis and research.

Clinical Pathology

Comprehensive laboratory testing including hematology (blood cell analysis), clinical chemistry (biochemical markers in blood), ELISA (enzyme-linked immunosorbent assay), and urinalysis.